Fluoride gel application.It helps in prevention of tooth decay

Book Appointment

Why SEALANTS?
Thorough brushing and flossing helps remove food particles and plaque from the smooth surfaces of teeth, but toothbrushes can't reach all the way into the depressions and grooves to extract all food and plaque. While fluoride helps prevent decay and helps protect all the surfaces of the teeth, dental sealants add extra protection for the grooved and pitted areas.

What are dental sealants?
Dental sealants are plastic coatings that are usually placed on the chewing (occlusal) surface of the permanent back teeth — the molars and premolars — to help protect them from decay.

Book Appointment

A primary tooth with a filling or crown will still fall out when it is time for the permanent tooth to come in.
Children's permanent teeth generally are filled in the same way as adults' permanent teeth. The making and fitting of a crown, however, is somewhat different.

Book Appointment

The treatment of primary and young permanent teeth is quite safe and predictable, backed by a large body of research detailing the best clinical techniques and practices. With sound clinical techniques and some rather extraordinary compounds, a lot can be done to save baby teeth. As always, treatment is based on assessment and diagnosis, and, especially in the case of primary teeth, may be decided by the state of the tooth at the time of examination.

rolex day date 40 arabic dial rolex explorer ii msrp uk replica watches rolex yachtmaster 2 gold price in india tag heuer carrera calibre 16 day-date chronograph black titanium swiss replica watches tourneau g shock baby swiss replica watches omega seamaster deville automatic price collectible watches for sale uk replica watches
Book Appointment

You may think it's not necessary to place a filling in a primary (baby) tooth. After all, it eventually will fall out and be replaced by a permanent tooth. However, primary teeth are important for several reasons:

?Chewing food
?Allowing speech to develop normally
?Maintaining space for the permanent teeth
?Guiding permanent teeth into position

Also, remember that tooth decay is an infection. If a primary tooth is decaying, this infection may also spread to other teeth, including adult teeth that are developing or already in the mouth. Infection can also affect the child's general health.

A primary tooth can be restored with a filling or a crown. Which one is used depends on how much of the tooth is still healthy.

Book Appointment

Permanent Tooth
Chiped or Fractured:These teeth will be sensitive to touch, hot and cold, and should be treated as soon as possible. However, treatment of a pulp (nerve) exposure 12 or more hours after a crown fracture will not affect long-term outcomes. Restoration (filling or replacing missing tooth fragments with restorative materials) may require local anesthetic (numbing the tooth) before treatment. If tooth fragments can be found, they may be reattached to the crown of the tooth by bonding.

Primary Tooth
Chiped or Fractured:Chipped or injured primary teeth are generally managed in much the same way as permanent teeth; treatment will depend on the extent of injury and damage to the tooth. Treatment of fractured primary teeth will depend on the nature and position of the fracture, and the proximity of the injured tooth to the permanent underlying tooth, which will ultimately replace it. If a fractured primary tooth cannot be saved, the dentist or pediatric dentist will make the decision to remove it, in consultation with parent(s) or caregiver.

Book Appointment

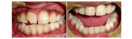
Parafunctional habits are recognized as a major etiological factor for the development of dental malocclusion. Thumb sucking and tongue thrusting are the most commonly seen oral habits.The line of treatment for these habits includes removal of the etiology, retraining exercises and use of mechanical restraining appliances. Tongue bead appliances are commonly used as retraining exercise devices.

Tongue crib appliances are extremely effective in breaking the tongue thrust habit [4, 5, 10, 11]. They create a mechanical barrier and prevent the tongue from thrusting between the incisors. In most of the cases with severe thumb/digit sucking habit, an anterior open bite develops.

Book Appointment

Space maintainers may be used:
? If a primary tooth is lost before the permanent tooth is ready to come in
? If a permanent tooth is missing
The maintainer keeps the space open until the permanent tooth comes in.

Types:
A space maintainer is made of stainless steel and/or plastic. It can be removable. Some space maintainers are cemented onto the teeth on either side of the space in the child's mouth. This is called a fixed space maintainer

Book Appointment